
Mr. Hong-Toan Lai
Ready-to-graduate PhD in Cancer Biology | Researcher | Educator | Advocate for Innovative Treatments
About Mr. Hong-Toan Lai
As a final-year PhD candidate at Paris-Saclay University and the Gustave Roussy Cancer Campus, with an anticipated defense in December 2025, Hong-Toan Lai explores the crucial communication between mitochondria and the nucleus and its role in driving tumor aggressiveness. His groundbreaking research has led to the discovery of a first-in-class flavonoid that disrupts the AIF/CHCHD4 complex, a critical mediator of nucleus-encoded protein import into mitochondria, offering a novel therapeutic strategy for pediatric osteosarcoma. This work has resulted in a pending patent and the launch of a deep-tech spin-off project. Additionally, Hong-Toan has developed an innovative concept of targetable metabolic vulnerabilities, paving the way for synergistic anti-cancer therapeutic combinations.
Supported by prestigious fellowships, including Fondation pour la Recherche Médicale, Germaine de Staël, and Taxe d’Apprentissage, Hong-Toan integrates rigorous wet-lab experimentation with advanced RNA-seq, metabolomics, and machine-learning pipelines to uncover therapeutically exploitable metabolic reprogramming in cancer.


Meet Mr. Lai
Research Expertise
Hong-Toan’s skill set combines mitochondrial biology, cancer metabolism, and drug discovery, with cutting-edge techniques with translational innovation:
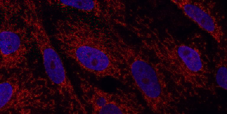
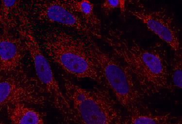
Molecular and Cellular Biology: Co-immunoprecipitation (co-IP), (RT-q)PCR, Immunofluorescence, Confocal Microscopy, Clonogenic/proliferation assays (MTT, LDH),…
Mitochondrial Bioenergetics: Seahorse XF flux analysis and structural-functional studies of the AIF/CHCHD4 complex to assess mitochondrial function and dynamics.
Multi-Omics Profiling: Experienced in RNA-seq analysis (DESeq2, GO, GSEA) and untargeted metabolomics (KEGG, MetaboAnalyst) to map cancer-specific metabolic rewiring.
Genome Engineering and In Vivo Models: CRISPR/Cas9-based knockout and knock-in cell line development, as well as orthotopic xenograft models in mice with tumor bioluminescence imaging.
Translational Drug Discovery: Expertise in hit-to-lead optimization of bioactive flavonoids, collaborating with chemists and clinicians to advance therapeutic pipelines.
Research and Publications




Patent & Publications
Patent
Brenner C*, Duong TH, Figadère B, Gaspar N, Geoerger B, Lai HT, Marchais A, Pedroso D. M-030-E05, a molecule targeting AIF/CHCHD4 complex for anticancer treatment. Patent GR, CNRS, INSERM, submitted. *Alphabetical order.
Publications
Lai HT, Nguyen TNA, Pedroso D, Fernandes R, Vassetzky Y, Marchais A, Gaspar N, Duong TH, Geoerger B, Brenner C. Combined targeting of AIF/CHCHD4 interaction and GLS1 exploits metabolic vulnerabilities in pediatric osteosarcoma. In preparation.
Lai HT, Pedroso D, Da Costa Marques J, Fernandes R, Nguyen TNA et al. Engineered flavonoid disrupts mitochondrial AIF/CHCHD4 complex for targeted cancer therapy. bioRxiv; Acta Pharmaceutica Sinica B (in revision) (IF = 14.6). doi: 10.1101/2025.03.13.642976.
Nguyen TNA, Lai HT, Fernandes R et al. Apoptosis-Inducing Factor (AIF) at the crossroad of cell survival and cell death: implications for cancer and mitochondrial diseases. Cell Communication and Signaling 23, 264 (2025) (IF = 8.9). doi: 10.1186/s12964-025-02272-2.
Lai HT, Naumova N, Marchais A et al. Insight into the interplay between mitochondria-regulated cell death and energetic metabolism in osteosarcoma. Front Cell Dev Biol 10:948097 (2022) (IF = 4.3). doi: 10.3389/fcell.2022.948097.
Lai HT, Canoy RJ, Campanella M et al. Ca²⁺ transportome and inter-organelle communication in hepatocellular carcinoma. Cells 11(5):815 (2022) (IF = 5.2). doi: 10.3390/cells11050815.
Liu D, Lai HT, Peyre F, Brenner C. Multiple analysis of mitochondrial metabolism, autophagy and cell death. Methods Cell Biol 164:95-112 (2021) (IF = 1.4). doi: 10.1016/bs.mcb.2021.02.001.
Research
02/2022 - 06 / 2026
Co-founder, Scientific Advisor | METSY Therapeutics, Gustave Roussy Institute, Villejuif, France
Spearheading a spin-off startup developing chemically-modified flavonoids for anti-cancer therapy, following the patent of a flavonoid targeting AIF/CHCHD412 / 2021 – 07 / 2021
Lab Technician | CNRS UMR9018 METSY, Gustave Roussy Institute
Project “Metabolic characterization of osteosarcoma cell lines” – Supervisors Dr Catherine Brenner, Dr Birgit Geoerger06 / 2021 – 01 / 2021
Master 2 Internship | CNRS UMR9018 METSY, Gustave Roussy Institute
Project “Role of mitochondrial calcium & MICU1 as regulators of metabolism and gene expression in cancer” – Supervisors Dr Catherine Brenner, Dr Yegor Vassetzky05 / 2020 – 03 / 2020
Master 1 Internship | CNRS UMR9018 METSY Project “Evaluation of the metabolic and cytotoxic activity of compounds interrupting the CHCHD4–AIF interaction” – Supervisors Dr Catherine Brenner, Dr Dawei Liu07 / 2019 – 06 / 2019
Bachelor’s Internship | BETA INNOV, IRBM, CHRU Montpellier
Project “Evaluation of the efficacy of BIM2b inducing cell death in glioblastoma astrocytes” – Supervisors Dr Marcel Mersel, Dr Clovis Rakotoarivelo2017 - 2018
Bachelor’s Internship | INSERM U1183, Faculty of Medicine Montpellier, FranceTwo-year project “Study of the functionality of T-regulatory lymphocytes in the pathophysiology of Rheumatoid Purpura in children” – Supervisor Prof Tu-Anh Tran
Connect
Get in touch!
Contact
Learn
+33 7 69 11 97 88